Veneers & Crowns
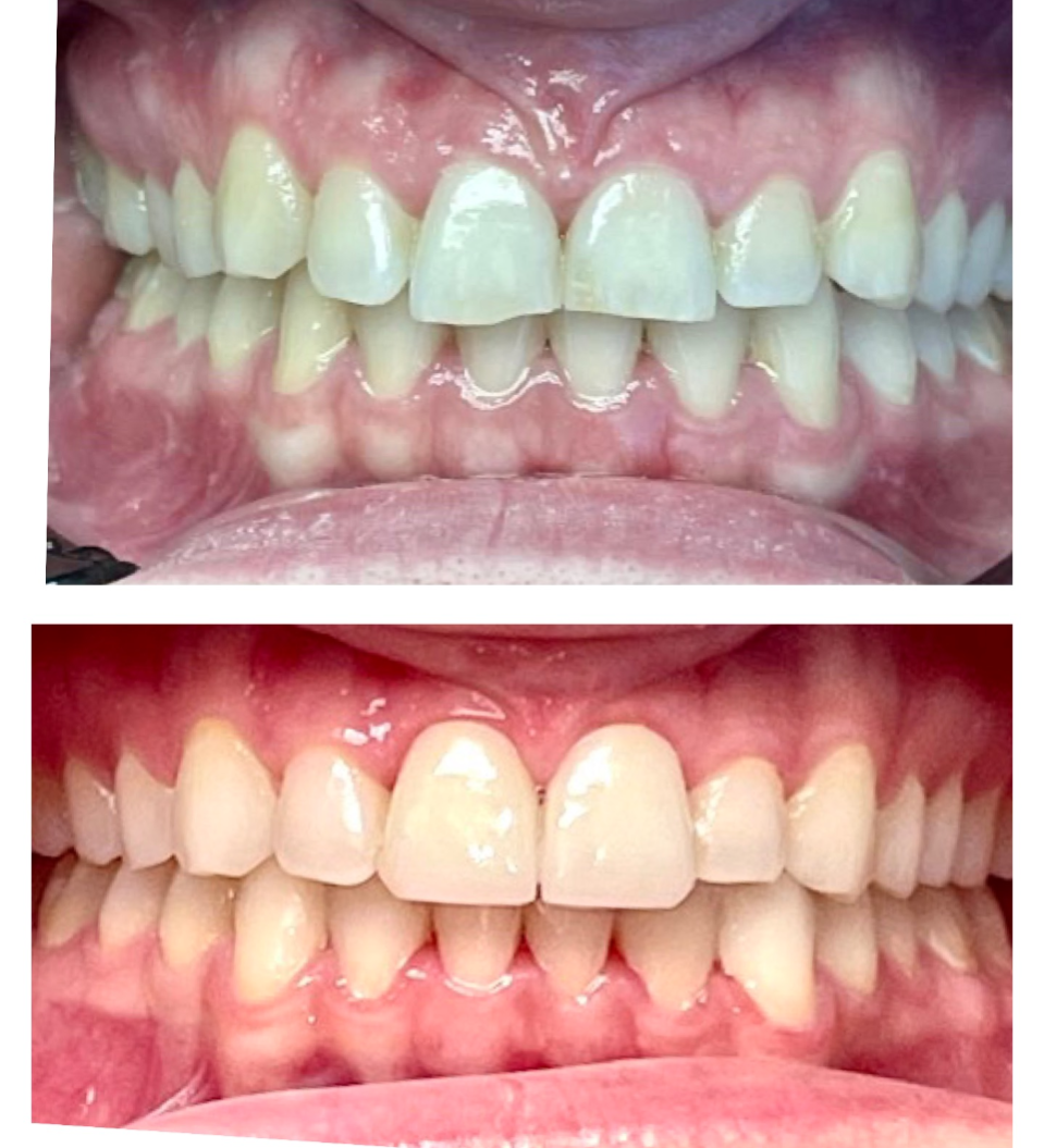
Before

After

Veneers
Before

After

Veneers
Before

After

Veneers
Before

After

Veneers
Before

After


As the most recognizable expression and the universal sign of happiness, a beautiful smile is an important asset. Studies show that an attractive smile can boost your self-confidence, contribute to your overall well-being, and help make a positive impression on everyone you meet.
If your front teeth are stained, discolored, chipped, worn-down, misshapen, a little gapped, or slightly misaligned, you're not alone. According to statistics, more than one-third of adults in the United States are dissatisfied with the appearance of their smiles. Cosmetic imperfections may be due to genetics, excessive wear and tear on the teeth, the aging process, dietary choices that stain the dental enamel, smoking, or as a side effect of certain medications.
In some cases, if the imperfections are minor ones, a teeth whitening procedure or cosmetic bonding may be all it takes to create a more perfect-looking smile. However, darker dental stains, discolorations, and more significant flaws involving the size, shape, and alignment of the teeth, are sometimes better addressed with porcelain veneers.
At the office of Regency Family Dental, we recognize that every smile is different and tailor treatment to address individual needs and expectations of care. Whether your smile is best served by the fabrication of dental veneers or another cosmetic dental procedure we provide, you can count on our office for the latest, most effective, pleasing, and healthy solutions for your smile.
One of the most conservative yet highly effective and aesthetically pleasing ways to transform the appearance of imperfect looking teeth is the fabrication of dental veneers. Fully customized to the exact specifications of your smile and the cosmetic corrections required, veneers are ultra-thin facings, seamlessly bonded to the fronts of the involved teeth.
This versatile and minimally-invasive cosmetic procedure conceals a range of imperfections to dramatically improve the look of teeth that are misshapen, exhibit minor chips, enamel defects, or stains. They also provide an excellent solution for closing small gaps as well as addressing other minor alignment issues.
Among the chief benefits offered by veneers are that they require little to no preparation of the underlying tooth and offer a relatively quick way to achieve long-lasting and pleasing results. And because they are ultra-thin, veneers preserve the maximum amount of natural tooth structure and are kind to the tissues along the gumline.
Whether you're looking to improve the appearance of a single front tooth or multiple ones, dental veneers can turn a less-than-perfect smile into one that appears naturally beautiful and flawless.
Your veneers are fabricated from the highest quality of dental-grade porcelain to recreate the natural translucency of healthy tooth enamel. Since porcelain reflects light in much the same way as dental enamel, veneers produce a vibrant, flawless, and naturally beautiful-looking smile.
From preparation to taking an impression and placement, the entire process of getting dental veneers only takes a few visits. Furthermore, even though a veneer is fragile to handle before placement in the mouth, once it gets bonded to the underlying tooth, it becomes quite strong and durable. With proper oral hygiene and care, you can maintain your new veneers for many years to come.
At the office of Regency Family Dental, we successfully combine the art and science of dentistry to create healthy, beautiful smiles. We've helped many patients enhance the look of their smiles and feel confident we can do the same for you.
The process of getting dental veneers begins with a consultation and thorough assessment of your dental health, oral function, and smile aesthetics. We'll also discuss your smile goals and treatment expectations. Although getting veneers is a relatively quick process, it's essential to address any periodontal problems or cavities in the involved teeth before your new veneers get fabricated.
While the amount of tooth preparation varies, depending on the unique requirements of the case and the type of porcelain veneer, the removal of tooth structure from the front and sides of the tooth is typically quite minimal. It's just enough enamel for the ultra-thin facing to look most natural and remain sturdy and strong when placed.
Once the teeth are prepared, an impression gets taken, and an appropriate shade of porcelain is selected, your new veneers are ready for fabrication. Porcelain veneers are most often sent out to a dental laboratory for custom fabrication. For the short time it takes the permanent ones to come back from the lab, attractive temporary veneer facings cover the teeth.
When your veneers are ready, it's time to check their fit, size, shade, and shape. Prior to getting affixed to the teeth, any adjustments to ensure a precise fit and optimal aesthetics are made. At this time, we'll also confirm that you're pleased with the look of your new smile. Once fitted and approved, the involved teeth are then cleaned, and the veneers are permanently bonded in place with composite resin cement. Following placement, any further adjustments or minor refinements are performed as needed.
Before

After

Before

After

Before

After

Before

After

Before

After



Determining if a veneer is suitable or a full-coverage crown is required depends on the extent of the tooth's defects and the remaining amount of healthy tooth structure. For teeth with imperfections that cannot be remedied with a teeth whitening procedure, dental veneers often provide the desired cosmetic improvements. However, a significantly undersized, misshapen, chipped, or darkly stained tooth usually requires a full coverage crown.
Porcelain veneers are fabricated from the highest grade of dental ceramics, which reflect light in much the same way as the enamel of natural teeth. In addition to this feature, dental porcelain is resistant to stains and discolorations, keeping your smile white and vibrant for years to come.
Porcelain veneers are ultra-thin customized facings that become strong and durable once bonded to the underlying teeth. With proper hygiene and routine dental care, veneers provide a cosmetic solution that not only looks and feels completely natural but is also long lasting.
However, just as harmful oral habits can affect your natural teeth, they can also cause damage to your veneers. To prevent chipping, cracking, or dislodging a veneer, avoid nail biting, chewing on hard candies, ice, pens, or pencils, and opening bottles or other objects with your teeth. Also, remember to protect your smile on the playing field by wearing a properly fitted sports mouthguard.
Tooth grinding or bruxism is another important consideration in care. If you clench or grind your teeth, you may need to wear a night guard to help protect your new smile or discuss other options with our office.
As versatile as they are beautiful, dental veneers can be applied to a single tooth in need of cosmetic improvement or multiple front teeth to dramatically improve the look of your smile. Whatever the case may be, dental veneers provide highly satisfying results to create a smile; you'll feel confident sharing with the world.
Among the many benefits offered by dental veneers is their ability to mask a range of imperfections at once. In addition to covering stains or discolorations on the front surface of a tooth, the size and shape of a veneer can also be customize to improve the tooth's contours and dimensions. At the same time veneers create a whiter and more vibrant smile; they can also lengthen or widen a tooth, close minor gaps, and address other minor alignment issues.
The two most common types of veneers are porcelain veneers, also known as porcelain laminates, and composite veneers. Although porcelain veneers are the most commonly offered option in care, composite veneers fabricated directly on the tooth can also achieve excellent results. You may have also heard the term no-prep veneer. It refers to a type of porcelain veneer that requires little to no preparation of the underlying dental enamel. At your consultation visit, we'll discuss your best options in care.
Once they're in place, your veneers are also easy to care for and maintain. Simply by brushing, flossing, and visiting our office for periodic checkups, you can successfully protect and preserve your new and beautiful smile.
Although certain procedures that are considered cosmetic may not be covered by dental insurance, veneers remain a worthwhile investment in your smile. Based on the unique considerations of each case, we develop treatment plans that consider specific dental needs, cosmetic goals, and budget. Our experienced and friendly office staff can address all your insurance questions and review various payment and financing options.
At the office of Regency Family Dental, we value patient input and pay close attention to your treatment goals, concerns, and expectations in care. When it comes to cosmetic dentistry, we recognize that every smile is unique and never take a “one size fits all” approach to care. We utilize the most advanced diagnostic technology and treatment methods to assess your smile and to design your porcelain veneers for a precise fit and optimal aesthetics.
As experienced providers of care, we provide highly personalized treatment, combining state-of-the-art technology with an artistic touch to produce long-lasting and aesthetically pleasing results of care.
